使用薬剤
オパールエッセンスBOOST オフィスホワイトニング材 |
|
ホワイトニング
Whitening
ホワイトニング
まさる歯科のホワイトニング
オパールエッセンスboostの特徴は
・使用前に薬液を混合するため常に新鮮な状態を保つことが出来ます。
・35%の過酸化水素を使用するため効果が最大限発揮されます。
・フッ素1.1%配合、硝酸カリウム3.3%配合で薬剤がしみるのを抑え、エナメル質強化作用があります.
ブリリアビアンコの特徴は
直接開口器に取り付ける新しいスタイルのため、動いても照射位置が一定なので効率的な施術が可能です。
動いてはいけないというストレスが軽減されました。
当院のオフィスホワイトニングはこの二つを用いて施術をしていきます。
薬材をシリンジ内で混合するため準備も簡単。赤いジェルは塗布部分がはっきりわかるだけでなく、除去の際の確認も簡単20%以上の水分量を含むためエナメル質の脱水を防ぎ、知覚過敏が発生しにくい
使用照射器
ブリリカ ビアンコ
|
ホワイトニング照射
|
ブリリカビアンコの特徴
|
【①開口器装着タイプ】
|
|
|
■照射位置がずれない
⇒照射効率が良い⇒時間短縮 ⇒光が目に入りにくい ■逆に・・・動いてもOK |
|
【②LED】
|
|
|
■発熱が少ない
(本体内部の基盤部が発する熱も効率処理) ■ 3種類の異なる波長のLEDを使用 ⇒発光波長が400~480nmと広範囲であるため 光照射タイプのホワイトニング剤であれば幅広く対応可能 ※危険な紫外線領域(380nm以下)が含まれていない |
施術の流れ
- Step1
- カウンセリングとホワイトニングの説明
- Step2
- 口腔内チェック 必要な場合はクリーニングを行います(保険治療)
- Step3
- 歯の色の測定
- Step4
- 開口器の固定
- Step5
- 歯茎のガード 青色の樹脂で歯茎の保護をしていきます
- Step6
- ホワイトニングジェル塗布
- Step7
- 照射機のセット
- Step8
- step6~7を計3回行います
- Step9
- 水洗乾燥
- Step10
- 白さの確認
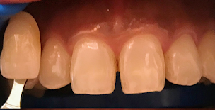
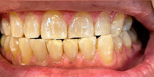
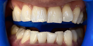
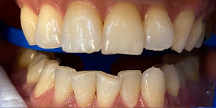
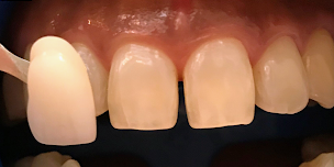
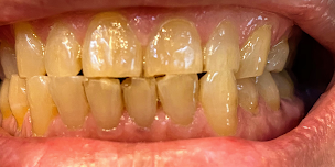
施術例
|
|
|
|
|
|
|
|
|
ホームホワイトニング
【新商品】オパールエッセンスGO(Opalescence GO)
マウストレー不要のホームホワイトニング オパールエッセンスGO(Opalescence GO)。
ホワイトニングジェルが塗布されたセロファンがマウスピース代わりになり、お手軽にホワイトニングが出来ます。
粘着力のあるオパールエッセンスのジェルは液だれの心配もなくしっかりと歯に密着します。
7~8シェードの漂白効果。
硝酸カリウムとフッ化イオン0.11%(1100ppm)配合により、知覚過敏を防止とエナメル質を強化し虫歯予防の効果もあります。
●商品コード:opalescence-go1015
●内容:上顎用10個 下顎用10個/ホワイトニング歯磨き粉1oz(28g)
内容:上顎用10個 下顎用10個/ホワイトニング歯磨き粉1oz(28g)
特徴
・歯科医院で型取りをすることなくホームホワイトニングが行えます。
・既成トレーにホワイトニングジェルが充填された新しいタイプのホワイトニング剤です。
口腔内の温度によって歯列に合わせたトレーが変形し使い捨てのため場所を選ばず持ち運びも出来、好きな時にホワイトニングが行えます。
・過酸化水素6%なので他のホワイトニング剤より白くなる時間が早いです。従来品より倍の濃度です。
・当日説明とお渡しができます。
・使用時間は1日90分、10日間使用で従来品より短時間ですみます。(従来品は1日120分連続14日使用)
良いこと尽くめなようですが。。。
適応症例と非適応症例があります。
・トレーに合わない歯並び
・歯の大きさや顎の大きさがトレーよりも大きい
・虫歯がある・・・痛みを引き起こす場合があります。
・歯石がある・・・薬剤の浸透が悪くなります。
・1日90分の装着が難しい
一度受診していただいて快適な状態で始めていただけたらと思います。
ホワイトニングご使用前の注意事項
オパールエッセンス、ナイトホワイトのホワイトニングを始める皆様へ。安全かつ効果的にホワイトニングを行うため下記を必ずお読みください。
・現在虫歯がある方、治療進行中の方は、先に治療を済ませてからホームホワイトニングを始めてください。
・白くしたい歯に知覚過敏や虫歯、歯周病がある場合、歯に大きな損傷がある場合は、ホームホワイトニングによって痛みを感じることがあるかもしれません。
その状態でホームホワイトニングが可能かどうか、先に治療を済ませなければならないか歯科医師に判断してもらいましょう。
・入れ歯や差し歯などの人工の歯、詰め物などはホームホワイトニングでは白くすることができません。
・歯の成熟度にもよりますが、薬剤の影響を受けやすい小児は注意が必要です。
また、ホームホワイトニングの場合、薬剤の管理や取り扱いを間違えたり、決められた使用法を守らないでいると問題が生じることもありますので、ある程度の年齢に達してから行うのがよいでしょう。
・歯の変色が強い人、変色の原因などによってはまれにホームホワイトニングをしてもあまり効果が現れないことがあります。
・現在、歯以外でも体に何らかの病気を抱えている場合、ホームホワイトニングができないことがあります。
病気や治療、使用している薬がある場合はかかりつけの医師に相談しましょう。
・妊娠中、授乳中の女性は、薬剤が胎児や母乳に与える影響を考え時期を見合わせましょう。
・歯軋りなどの癖がある人は歯が磨り減っていて薬剤が塗布しなかったり、ホームホワイトニングに注意が必要な場合があります。
・日ごろから歯磨きをきちんとしていない人は、ホワイトニングを受けてもすぐに歯の色が戻ってしまう可能性もありますので毎日のお手入れを念入りに行ってください。
・ホームホワイトニング後一時間はコーヒー、ウーロン茶、柑橘飲料、コーラ、色の濃いうがい薬、カレー、ケチャップ料理、赤ワインなどの色の濃い食事、タバコなどはホワイトニングしたての歯を着色する可能性がありますのでできるだけ避けてください。(ヨーグルト、バナナ、白米、そば、カルボナーラなど色の薄い食事は問題ありません)
以下に該当する方はホームホワイトニングをお控えください。
・健全でない歯(虫歯、くさび状欠損、咬耗症、亀裂)
・差し歯や大きな詰め物がされている歯
・重度の知覚過敏症の方
・妊娠中、授乳期の女性
・重度の着色歯(テトラサイクリンの第3度、第4度)
・重度の歯肉炎や歯周炎
・無カタラーゼ症(カタラーゼとは過酸化水素を分解し、酸素と水に分解する反応を促進する酵素で、このカタラーゼが体内で不足して、過酸化水素の分解がうまく出来なくなる病気です)
・エチレン酢酸ビニルに対して、アレルギー反応が見られる場合
Q&A
A.ほぼ無痛です。
Q.変化が見えないことはありますか?
A.個人差はあります。全く変化が見られない方はいらっしゃいませんが、あまり効果がない場合もございます。その場合はもう一回受けていただいたりホームホワイトニングを併用していただくこともございます。
Q.どれくらいで後戻りしますか?
A.早い方だと2〜3ヶ月です。後戻りに関しては治療を重ねることで対処できます。
Q.ホームホワイトニングとオフィスホワイトニングどちらがお勧めですか?
A.白さの持続期間で言えばホームの方が白さを維持できます。しかし効果が出るまでに時間がかかります。最もおすすめなのはオフィスホワイトニングをした後ホームで白さを維持していく方法です。
Q.オフィスホワイトニングはどれくらい時間がかかるものですか?
A.初回は受付をしてから施術しまた受付をするまで約40分で終了します。
Q.タバコを吸っていてもできますか?
A.はい、可能です。しかし後戻りも非喫煙者の方に比べ早くなります。ご了承の上ご来院ください。
Q.当日は何を食べても大丈夫ですか?
A.着色性の高い食べ物、飲みものは避けていただきたいです.
- 痛みはありますか?
- ほぼ無痛です。
- 変化が見えないことはありますか?
- 個人差はあります。全く変化が見られない方はいらっしゃいませんが、あまり効果がない場合もございます。その場合はもう一回受けていただいたりホームホワイトニングを併用していただくこともございます。
- どれくらいで後戻りしますか?
- 早い方だと2〜3ヶ月です。後戻りに関しては治療を重ねることで対処できます。
- ホームホワイトニングとオフィスホワイトニングどちらがお勧めですか?
- 白さの持続期間で言えばホームの方が白さを維持できます。しかし効果が出るまでに時間がかかります。最もおすすめなのはオフィスホワイトニングをした後ホームで白さを維持していく方法です。
- オフィスホワイトニングはどれくらい時間がかかるものですか?
- 初回は受付をしてから施術しまた受付をするまで約40分で終了します。
- タバコを吸っていてもできますか?
- はい、可能です。しかし後戻りも非喫煙者の方に比べ早くなります。ご了承の上ご来院ください。
- 当日は何を食べても大丈夫ですか?
- 着色性の高い食べ物、飲みものは避けていただきたいです.
ガムピーリング
ガムピーリングとは
|
ガムピーリングとは、メラニン色素の黒ずんだ歯肉をピンク色に回復させるという方法です。
歯肉で口元の印象はかなり変わります。 黒ずんでしまっている歯肉は悪目立ちしますしイメージが悪いです。 『ガムピーリング ~メラニン除去~』でその悩みは一蹴されます! 早くやっておけばよかった~、そんな声を沢山頂戴しております。 私も実際やってみました! 体験談としては痛みは術中はほぼないです。術後3時間くらい何とも言えないビリビリした感じが続きました。それも3時間で収まります。(人によりますが) 2日後くらいから歯肉の表面が剥け始め4日目で一層なくなり赤い歯肉が露出します。 そこから1週間ほどかけきれいなピンクの歯茎が出現しました!!!! 長年のコンプレックスから抜け出せ本当に嬉しかったです。早くやっておけばよかった。。。それにつきます。30分もかからず綺麗になれるんですから |
|
歯茎の黒ずみの原因
メラニン色素は紫外線や喫煙、食物の刺激などが原因で皮膚の表皮最下層の基底層にメラノサイト(色素細胞)で生成されます。お肌と同様、表層だけに存在しているので、メラニン除去・ピーリングにてキレイにする事ができます。
□ 長年のたばこ(喫煙)で黒ずんでしまった方
□ 紫外線
□ 呼吸などで黒ずんでしまった方
□ 食物の刺激
□ 遺伝的要因
□その他・・・
(注)被せ物のメタルで沈着してしまった歯肉は薬剤での除去はできません。
あなたはいくつ当てはまりましたか?
多ければ多いほど、その頻度や濃さに影響してきてしまうかもしれません。
そのためにはしっかりメインテナンスや予防でもチェックし、キレイで清潔なお口の中にしていきましょう!
※ガムピーリング後、刺激の強い食べ物(辛い物や塩辛い物など)は、控えて下さい。
※痛みに対する反応は個人差があります。
※やけどをしたようなヒリヒリ感を感じる場合もあります
※ガムピーリング後、2~7日間くらい歯ぐきが白っぽくなります。
(1週間後辺りから白濁は消失し、健康歯ぐきの色調になってきます)
※個人差にもよりますが、生活状況によっては、再発する事があります。
治療の流れ
- Step1
- 歯ぐきの黒ずみが歯周病によるものではないか、安全に施術できる状態かどうか、術前に歯ぐきの検査で確認します。
- Step2
- 安全に施術を行っていくため、目立ってついている汚れは先に取り、消毒をしていきます。
- Step3
- お薬を歯ぐきの黒ずんでいる部分にフェノール剤塗布を塗ります。
- Step4
- 白濁した部位を中和させるため、お薬であるエタノール剤塗布でふき取っていきます。
- Step5
- その後、十分に水洗し、乾燥させます。
- Step6
- Step3〜6の流れを3回ほど繰り返していきます。
