|
|
|
|
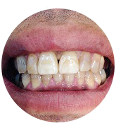
元々かなり外に開いた前歯2本だったようです。色みも形もあっていない状態でいらっしゃいました。前歯2本を周りの歯に合わせるようセラミックによって作り直しいたしました。非常に満足していただけて大変嬉しかったです。
|
||
審美歯科
Esthetic
審美歯科
あと少し歯が小さければ、白ければ、前に出ていなければ…など口元の悩みは尽きないものです。
審美歯科とはそのような口元のコンプレックスを解消する技術です。
細かく悩みを聞き、ご要望を叶える為女性ならではの感性で最高の技術、治療をご提供できればと思っています。
肌色、輪郭、唇の形などトータルで診て最善を尽くします。
お悩みのある方は是非一度ご相談下さい。
審美歯科とはそのような口元のコンプレックスを解消する技術です。
細かく悩みを聞き、ご要望を叶える為女性ならではの感性で最高の技術、治療をご提供できればと思っています。
肌色、輪郭、唇の形などトータルで診て最善を尽くします。
お悩みのある方は是非一度ご相談下さい。
審美的治療事例
元々かなり外に開いた前歯2本だったようです。色みも形もあっていない状態でいらっしゃいました。
前歯2本を周りの歯に合わせるようセラミックによって作り直しいたしました。
非常に満足していただけて大変嬉しかったです。
前歯2本を周りの歯に合わせるようセラミックによって作り直しいたしました。
非常に満足していただけて大変嬉しかったです。
|
|
この患者様は他院での治療後歯茎からの出血、もう少し白くしたかったとのご希望で来院されました。最終的にジルコニアでのクラウン、歯の表面に貼るラミネートベニアという治療法を選択しました。色味は真っ白を選択されたので本当に輝くような白さです。定期的にメインテナンスに通っていただき現在は良好な口腔状況を保っております。
|
|
|
|
|
|
|
メディアにでるようになり歯が気になるようになってきた、と来院された患者様です。
まずは歯が入るスペースと歯の本数のアンバランスさが気になり3本のところを2本にしてみる提案をしました。沢山削りたくない、あまり見かけを変えたくはないとのご希望だったので最低限の切削量で反対咬合は直さずに、色味と形を変えご自身の歯に近づけてみました。セラミックを入れています。大変満足してくださり私も嬉しかったです。 |
||||
